Ателектазом называют патологическое состояние, характеризующееся спадением части или всего легкого. Такой участок выключается из газообмена, дыхательная поверхность легких в той или иной степени уменьшается, возникают симптомы дыхательной недостаточности. Ателектаз может развиться в любом возрасте, даже внутриутробно.
О том, что может стать причиной этого заболевания, какими симптомами оно проявляется, а также о принципах его диагностики, лечения и профилактики вы узнаете из нашей статьи.
Виды ателектаза

В зависимости от происхождения выделяют 2 вида ателектаза легких:
- врожденный, или первичный (во внутриутробном периоде легкие находятся в спавшемся состоянии, поскольку плод не дышит; в норме после рождения младенец делает первый вдох и легкие расправляются, если же этого не происходит и отдельная часть или все легкое не расправляется, это и есть первичный ателектаз);
- вторичный, или приобретенный (спадается легочная ткань, которая ранее уже участвовала в акте дыхания).
Также выделяют формы ателектаза, которые не являются патологией. Это:
- ателектаз внутриутробный – то самое состояние легких плода; они не используются организмом до рождения, поэтому находятся в спавшемся состоянии и «ждут» первого вдоха новорожденного, чтобы расправиться;
- ателектаз физиологический – иногда такое состояние обнаруживается у некоторых здоровых людей; оно не опасно и является, по сути, функциональным резервом легких.
Также ателектаз классифицируют в зависимости от объема поражения:
- если поражен лишь 1 ацинус (структурная единицы легких, которая включает в себя дистальный (наиболее удаленный) бронх с гроздьями альвеол), ателектаз называют ацинозным;
- в случае поражения дольки – дольковым;
- при поражении сегмента – сегментарным;
- одной доли легкого – долевым;
- всего легкого – тотальным.
И еще одна классификация – по причине возникновения вторичного ателектаза. Выделяют:
- обструктивный, или обтурационный ателектаз (возникает из-за закупорки (обтурации) чем-либо просвета трахеобронхиального дерева);
- коллапс легкого, или компрессионный ателектаз (развивается из-за сдавления ткани легкого извне);
- контракционный ателектаз (такой диагноз выставляют, если альвеолы сдавливаются фиброзной тканью);
- ацинарный ателектаз (возникает вследствие дефицита в альвеолах сурфактанта; развивается при респираторном дистресс-синдроме у взрослых или новорожденных).
Кроме того, различают острые или постепенно развивающиеся, с осложненным или неосложненным течением, стойкие или преходящие ателектазы.
Причины и механизм развития
Итак, суть ателектаза в том, что по какой-то причине в альвеолы перестает поступать воздух и стенки их спадаются. Причины могут быть самыми разнообразными.
Первичный ателектаз, как правило, связан с аспирацией (заглатыванием) плодом околоплодных вод, мекония или слизи в процессе прохождения по родовым путям матери. Нередко он возникает у недоношенных младенцев, поскольку у них в альвеолах еще не образуется сурфактант – вещество, выстилающее стенки этих воздушных мешочков и препятствующее их спадению. Более редкие причины врожденного ателектаза – внутричерепные травмы, полученные в процессе родов, и врожденные пороки развития легких.
Причинами вторичного ателектаза могут стать:
- обтурационный – инородные тела, опухоль, растущая в полость бронха, большое количество густой вязкой слизи;
- компрессионный – опухоли средостения, плевры, увеличенные внутригрудные лимфоузлы (туберкулезной природы, при саркоидозе или лимфоме), аневризма аорты, пневмо-, гемо-, хило-, пио- или гемопневмоторакс, экссудативный плеврит;
- послеоперационный – выделение слизистой бронхов большого количества слизи в сочетании со снижением их способности ее выводить (это результат операционной травмы);
- у лежачих больных – плеврит, перитонит, отравление некоторыми лекарственными препаратами, паралич диафрагмы;
- у астматиков – бронхоспазм в сочетании с выраженным отеком слизистой оболочки бронхов.
Течение ателектаза легких можно разделить на 3 стадии:
- спадение альвеол;
- расширение сосудов и наполнение легочной ткани кровью, выделение ее клетками невоспалительной отечной жидкости, локальный отек; через 2-3 суток – признаки воспаления вплоть до развития пневмонии;
- замещение патологически измененной ткани соединительной с формированием очагов пневмосклероза, ретенционных кист бронхов, бронхоэктазов.
Участок легкого спадается, в полости плевры возрастает давление, это приводит к смещению на сторону поражения органов средостения. В тяжелых случаях из-за нарушения тока в спавшемся легком крови и лимфы развивается отек легких.
Клинические проявления
Выраженность симптоматики напрямую зависит от объема поражения легочной ткани, а также от того, насколько быстро развивается спадение альвеол. Если этот процесс происходит быстро и затрагивает целую долю или все легкое, развивается острая дыхательная недостаточность, которая в скором времени может привести к смерти больного. Симптомами в таком случае становятся:
- внезапно появившаяся выраженная одышка;
- сухой кашель;
- интенсивная боль в грудной клетке с пораженной стороны;
- резкая артериальная гипотензия;
- учащенное сердцебиение;
- цианоз (посинение) кожных покровов.
Ателектаз малого размера сначала может протекать совершенно без каких-либо симптомов, но постепенно у больного возникнет малозаметная одышка, интенсивность которой будет нарастать со временем, при отсутствии лечения. В дальнейшем в зоне со сниженной воздушностью возникнет ателектатическая пневмония – воспаление легких.
В случае повышения температуры тела, появления продуктивного кашля, общей слабости и нарастающих признаков интоксикации следует заподозрить начало абсцедирующей пневмонии.
Принципы диагностики

Предварительный диагноз основывается на жалобах пациента, данных анамнеза заболевания (когда появились симптомы, с чем пациент связывает свое состояние и так далее) и жизни (заболевания и операции, перенесенные ранее), объективного обследования (над спавшимся легким дыхание не проводится – при аускультации дыхательные шумы в этой области отсутствуют). Подтверждается он на основании результатов лабораторных и инструментальных методов исследования.
Из лабораторных методов определенное значение в диагностике ателектаза легких имеет анализ крови на газовый ее состав – при данной патологии будет обнаружено снижение парциального давления кислорода.
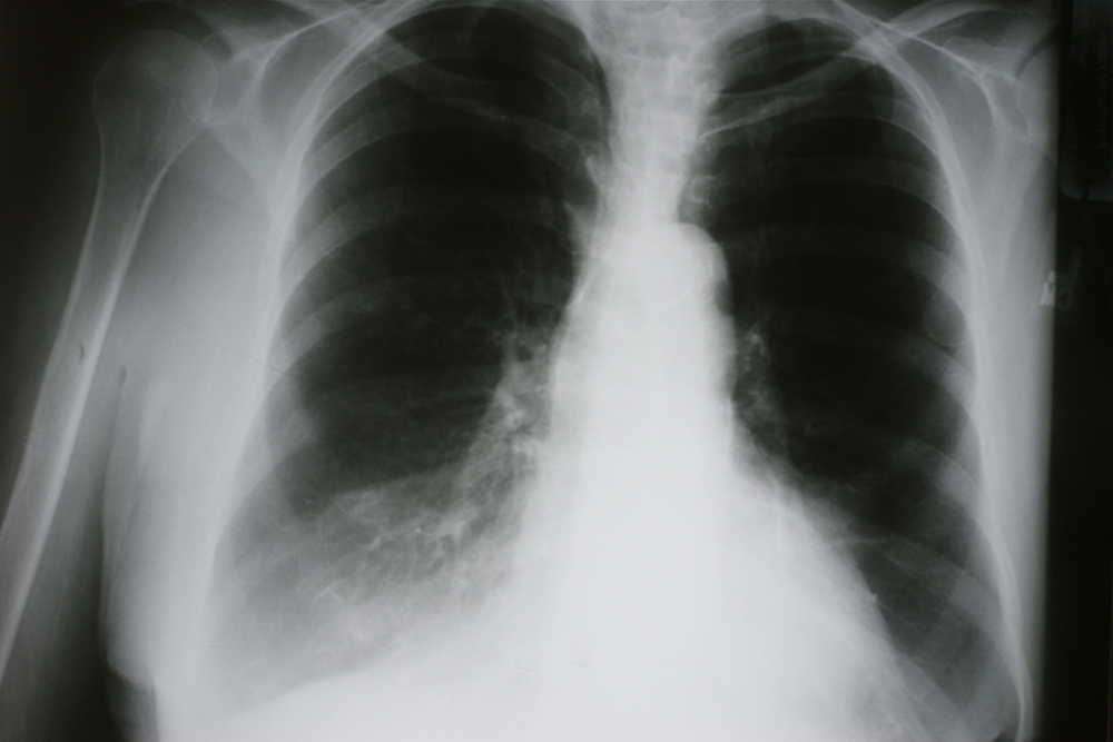
Среди инструментальных методов диагностики информативными являются:
- Рентгенография легких в двух (прямой и боковой) проекциях. Будет обнаружено однородное затемнение участка легочного поля, смещение в сторону поражения средостения, высокое стояние купола диафрагмы с пораженной стороны. Здоровое легкое с повышенной воздушностью.
- Рентгеноскопия легких. Важен характер смещения органов средостения при дыхании: для ателектаза характерно смещение их в сторону поражения на вдохе, а на выдохе и при кашле – в противоположную сторону.
- Компьютерная томография легких. Назначается в тяжелых, сомнительных случаях. Позволяет визуализировать даже маленькие ателектазы.
- Бронхоскопия. С ее помощью можно выявить, что вызвало обструктивный ателектаз – обнаружить инородное тело или новообразование в просвете дыхательных путей.
- Бронхография, ангиопульмонография. Позволяют оценить размеры спавшейся области легких.
Дифференциальная диагностика
Ателектаз легких имеет сходную клиническую картину с некоторыми другими заболеваниями бронхолегочной системы или близлежащих органов. Дифференциальную диагностику следует проводить:
- с гипоплазией или агенезией легкого;
- релаксацией диафрагмы;
- междолевым плевритом;
- увеличением вилочковой железы;
- опухолью легкого или органов средостения;
- диафрагмальной грыжей;
- пневмонией;
- циррозом легкого;
- скоплением в полости плевры крови – гемотораксом.
Принципы лечения
Цель лечения – восстановить проходимость дыхательных путей, расправить спавшиеся альвеолы и обеспечить ткани организма кислородом.
При врожденном ателектазе младенцу требуется неотложная помощь: отсасывание посредством резинового катетера содержимого дыхательных путей, если это не помогло – интубация трахеи.
При ателектазе приобретенном лечение может включать в себя:
- лечебно-диагностическую бронхоскопию (если путем бронхоскопии врач обнаруживает в просвете бронха инородное тело, используя тот же бронхоскоп, он может его извлечь – проходимость бронхов восстановится, спавшиеся альвеолы вновь наполнятся воздухом и будут выполнять свои функции);
- бронхоальвеолярный лаваж, или эндоскопическая санация бронхиального дерева (применяют этот метод в том случае, если причиной обтурационного ателектаза стала вязкая трудноотделяемая мокрота);
- постуральный дренаж (заключается в том, что пациенту придают положение, способствующее отхождению мокроты);
- перкуторный (постукиваниями) массаж грудной клетки (также способствует отхождению мокроты);
- ингаляции кислорода;
- ингаляции бронхолитических препаратов или ферментов;
- лекарственные средства, разжижающие мокроту (амброксол) и облегчающие ее выведение (препараты на основе плюща, подорожника и прочие);
- антибактериальная терапия (антибиотики широкого спектра действия – цефиксим, цефтриаксон и другие);
- плевральная пункция и дренирование плевральной полости (в случае компрессионного ателектаза, связанного с избытком жидкости в полости плевры);
- дыхательная гимнастика;
- хирургическое вмешательство (удаление причины ателектаза, например, опухоли, или же, в случае невозможности расправления легкого вышеуказанными методами, развития осложнений – иссечение (резекция) области ателектаза).
Профилактика и прогноз
Прогноз при ателектазе напрямую зависит от причины заболевания и сроков, в которые начато лечение. Статистические данные свидетельствуют, что полное устранение причины спадения альвеол и адекватные лечебные мероприятия, проводимые в первые 24-72 часа, практически всегда приводят к полному восстановлению функций пораженного участка легкого. Если на данном этапе помощь больному не оказана, в области спадения происходят необратимые изменения, полностью устранить которые невозможно.
Массивные ателектазы нередко в короткий срок приводят к гибели больного.
Профилактические меры следующие:
- предотвращение аспирации (вдыхания) инородных тел и содержимого желудка;
- поддержание адекватной проходимости трахеи и бронхов;
- устранение причин сдавления трахеобронхиального дерева извне;
- лежачим больным – частая смена положения тела, проведение дыхательной гимнастики;
- после операции на легких – ранняя активизация, лечебная физкультура, мероприятия, способствующие отхождению мокроты.
К какому врачу обратиться
При подозрении на ателектаз нужно обратиться к терапевту, который после первичной диагностики направит больного к пульмонологу. Дополнительно может потребоваться и консультация других специалистов – инфекциониста, хирурга, онколога, аллерголога. У новорожденных ателектаз легких лечат неонатологи.
Заключение
Ателектаз легких – патологическое состояние, сопровождающееся спадением части легочных мешочков (альвеол) в связи с недостаточным поступлением в них воздуха. Может развиться и у взрослых, и у детей. Причин ему – множество. Симптомы связаны с выключением пораженной части легкого из дыхания и выражены тем сильнее, чем больше участок ателектаза. Основные проявления – одышка, сухой кашель, цианоз кожных покровов, а при присоединении инфекции – повышение температуры тела и другие признаки интоксикации.
Среди дополнительных методов исследования важны бронхоскопия и рентгенография, а лечение зависит от вида ателектаза и проводится с целью восстановить проходимость дыхательных путей и расправить обезвоздушенные альвеолы.
Соблюдение профилактических мероприятий поможет предотвратить развитие ателектаза, а своевременно проводимое лечение – полностью восстановить функции поврежденной части легких.
Об ателектазе легкого в программе «Жить здорово!» с Еленой Малышевой (см. с 31:05 мин.):
