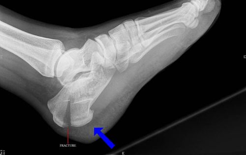
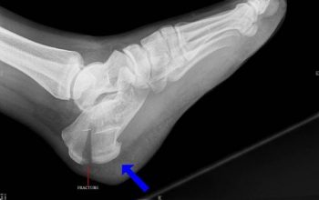
Перелом пяточной кости со смещением и без него Автор Екатерина Михайлюк | дата обновления 19.01.2017Мой мирВконтактеОдноклассники Рубрика: Поделись в соцсетяхВконтактеОдноклассники