Перелом пяточной кости относится к редким травмам и наблюдается в 3 % случаев всех переломов. Это объясняется тем, что эта кость является очень прочной и для ее разлома даже у пожилого человека необходимо очень сильное травмирующее воздействие.
В этой статье мы ознакомим вас с причинами, классификацией, признаками, способами диагностики, оказания первой помощи и лечения переломов пяточной кости.
Такая травма относится к тяжелым повреждениям, т. к. пяточная кость подвержена значительной нагрузке – она является опорной, несет на себе основную нагрузку при ходьбе и выполняет амортизирующую функцию в процессе движения. Для выбора метода ее восстановления необходим индивидуальный подход и продолжительная реабилитация, обеспечивающая полное восстановление ее анатомической структуры и функций.
Как правило, при переломах пяточной кости происходит смещение отломков, и травма становится тяжелой. В более редких случаях повреждение не сопровождается смещением, является легким и срастается быстро. Такие переломы часто сочетаются с другими травмами: переломом таранной кости, лодыжки или позвоночного столба. Наличие сочетанных повреждений всегда существенно осложняет и продлевает лечение и восстановительный период.
Причины

К перелому пяточной кости могут привести следующие факторы:
- неудачное приземление или падение на ноги с высоты;
- компрессия пятки при дорожно-транспортном происшествии или производственных травмах;
- сильный удар тупым предметом;
- интенсивная и длительная нагрузка, приводящая к «усталостным» дефектам кости (например, у спортсменов, курсантов, недавно призванных солдат).
Наиболее частой причиной такой травмы является падение с высоты. При приземлении вся сила тяжести тела проецируется через кости голени и голеностопа на таранную кость, и она вклинивается в пяточную, раскалывая ее на несколько частей. Тип перелома и характер смещения отломков в таких случаях определяется разными факторами: высотой падения, массой тела и положением стоп при соприкосновении с поверхностью.
Классификация
Как и все переломы, перелом пяточной кости может быть открытым или закрытым. Образование раны и выход наружу отломков при таких травмах наблюдается реже.
Переломы пяточной кости могут быть со смещением и без. Смещение осколков всегда осложняет течение травмы, ее лечение и последующее восстановление функций ноги.
По характеру повреждения кости переломы разделяют на:
- компрессионные без смещения;
- компрессионные со смещением;
- краевые со смещением и без.
По локализации разлома кости переломы разделяют на:
- переломы бугра пяточной кости;
- переломы тела пяточной кости.
По месту разломов переломы могут быть:
- внутрисуставными (в 20 % случаев);
- внесуставными.
Симптомы

Во время травмы у пострадавшего появляется интенсивная боль в области пятки. Она носит постоянный характер и значительно усиливается при любой попытке движения в голеностопе или переноса веса тела на поврежденную ногу.
После этого появляются следующие симптомы:
- усиление боли при ощупывании;
- отек в области стопы до ахиллова сухожилия;
- расширение пятки;
- образование гематомы на подошве;
- уплощение свода стопы.
При наличии сопутствующих травм позвоночника или лодыжек развивается несколько иная клиническая картина, которая мешает выявлению перелома пяточной кости. Это объясняется тем, что признаки других переломов выражены более ярко. При позднем выявлении нарушения целостности пяточной кости или неправильном лечении могут развиваться следующие осложнения:
- остеопороз пяточной и других костей стопы;
- посттравматическое плоскостопие;
- выраженные боли при нагрузке на поврежденную ногу;
- вальгусная деформация стопы;
- деформирующий остеоартроз подтаранного сустава.
Первая помощь
При подозрении на перелом пяточной кости необходимо провести следующие мероприятия:
- Обеспечить полную неподвижность пострадавшей конечности.
- При наличии раны обработать ее антисептическим раствором и наложить повязку из стерильного бинта.
- Приложить холод к области травмы.
- Дать пострадавшему обезболивающий препарат (Анальгин, Кеторол, Ибуфен или др.).
- Обеспечить быструю транспортировку больного в медицинское учреждение.
Признаки застарелого перелома пяточной кости
Застарелые переломы пяточной кости нуждаются в более сложном хирургическом лечении и часто становятся причиной инвалидности. При таких запущенных травмах наблюдается следующая клиническая картина:
- выявляется плоская или плоско-вальгусная деформация стопы;
- пяточная кость со временем увеличивается в поперечном размере;
- отсутствуют движения большого пальца (не всегда);
- определяется ригидность всех пальцев стопы (не всегда);
- трофические язвы на большом пальце (иногда).
При изучении рентгеновских снимков выявляются следующие признаки (один или несколько):
- анатомически неправильное срастание кости;
- наличие псевдоартроза (ложного сустава);
- увеличение поперечного размера кости;
- уменьшение длины кости;
- неправильное расположение суставных поверхностей в таранном суставе;
- подвывих таранного сустава;
- признаки артроза в суставе Шопара;
- выраженное уплощение свода стопы.
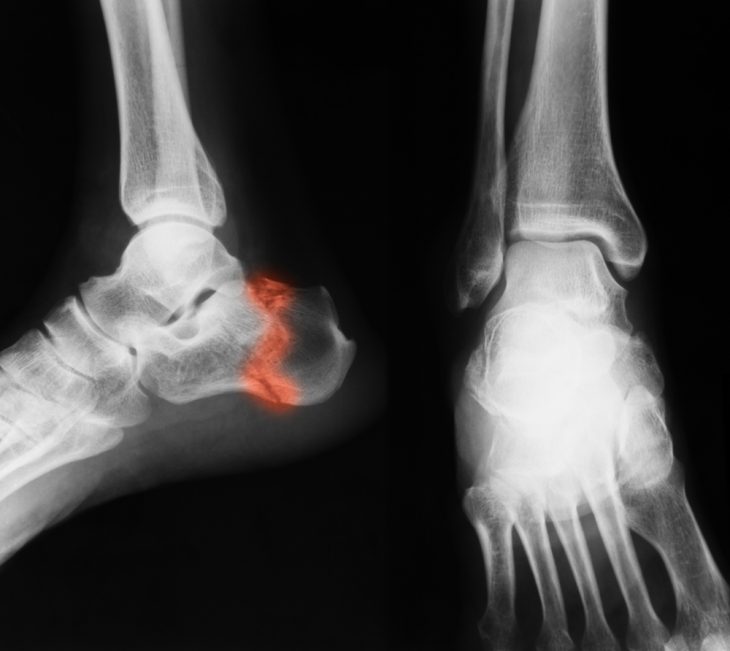
Диагностика

Для выявления перелома пяточной кости всегда проводится рентгенография. Этот метод исследования является «золотым» стандартом при диагностике таких травм. Для его проведения выполняются снимки в боковой и прямой проекции и при этом обязательно исследуются и другие кости: таранная, медиальная и латеральная лодыжки. При выявлении некоторых симптомов и жалоб больного, указывающих на возможное присутствие дополнительных травм, назначается рентгенография или КТ позвоночного столба.
Лечение
Тактика лечения перелома пяточной кости определяется типом травмы и степенью нарушения естественного расположения костей. Для этого врач особым способом соединяет на рентгеновском снимке определенные точки костей и получает угол Белера. В норме он составляет 20-40°, а при травме уменьшается или становится отрицательным.
Консервативное лечение переломов пяточной кости назначается при отсутствии смещения или незначительном смещении отломков по физиологической оси. В остальных случаях для устранения костных дефектов показано проведение хирургической операции. Особенно тяжело поддаются лечению переломы с большим количеством осколков.
Консервативная терапия
При уменьшении угла Белера от нормы не более чем на 5-7° лечение травмы может проводиться путем наложения циркулярной гипсовой повязки. При ее выполнении проводится небольшое моделирование продольного свода стопы. Повязка накладывается от пальцев до уровня колена или середины бедра. При необходимости перед ее наложением может проводиться закрытая репозиция отломков.
При наложении гипсовой повязки могут применяться гибкие металлические супинаторы. Они устанавливаются между гипсом и подошвой. Их применение позволяет повысить эффективность терапии и обеспечивает правильное формирование костной мозоли.
Длительность иммобилизации травмированной ноги составляет около 6-8 недель. На протяжении этого времени больному необходимо пользоваться костылями. Через 4 месяца врач может рекомендовать дозированные нагрузки на поврежденную конечность.
Для устранения болей и ускорения срастания костных отломков назначаются следующие лекарственные препараты:
- обезболивающие средства: Анальгин, Кетанов и др.;
- препараты кальция;
- поливитаминные комплексы.
Перед снятием гипса обязательно выполняется контрольная рентгенография. После снятия иммобилизующей повязки больному составляется индивидуальная программа реабилитации.
Хирургическое лечение
При более сложных переломах происходит смещение отломков пяточной кости и угол Белера не только значительно уменьшается, но и может становиться отрицательным. В таких случаях для правильной репозиции отломков используются особые методики.
Скелетное вытяжение
В некоторых случаях для устранения смещения используется скелетное вытяжение. Хирургическим путем сквозь пяточную кость проводится металлическая спица. Впоследствии к ее выступающему концу крепят грузики, обеспечивающие сопоставление отломков.
Через 4-5 недель спицу вынимают и на конечность для правильного срастания отломков накладывают гипсовую повязку. Длительность иммобилизации обычно составляет около 12 недель, но сроки могут изменяться в зависимости от тяжести травмы.
После этого проводятся контрольные снимки, позволяющие определить возможность снятия гипса и начала нагрузок на ногу. После сращения отломков больному назначается программа реабилитации.
Хирургические операции
При открытых и тяжелых переломах со значительным количеством осколков и выраженном их смещении показано проведение хирургической операции – наружного остеосинтеза. Для ее выполнения используются компрессионно-дистракционные аппараты, которые представляют собой приспособления из сфер и спиц.
Во время вмешательства хирург раскрывает мягкие ткани и вскрывает три сустава: таранно-пяточный, таранно-ладьевидный и пяточно-кубовидный. Далее он сопоставляет костные фрагменты и проводит через них спицы, которые позволяют удерживать кость в необходимом для правильного срастания положении. При необходимости некоторые места заполняются костным трансплантатом, предварительно забранном из подвздошной кости. Необходимость в пластике может возникать при невозможности сопоставления мелких осколков. После этого выполняется освобождение смещенных сухожилий пальцев. Для закрепления спиц используются полусферы. Благодаря им возможно проведение вытяжения отломков в физиологическое положение, обеспечивающее правильное срастание.
Иногда для сопоставления отломков пяточной кости проводятся операции по открытой репозиции при помощи металлических пластин, винтов или аутотрансплантатов. Такие вмешательства менее эффективны, выполняются реже и часто сопровождаются развитием осложнений.
Металлические конструкции для остеосинтеза больной носит около 6 недель. В этот период назначается строгий постельный режим. После этого проводится иммобилизация конечности гипсом на 2 месяца. После выполнения контрольной рентгенографии и снятия гипса назначается индивидуальная программа реабилитации.
При застарелых переломах пяточной кости показана операция по трехсуставной резекции стопы. Во время выполнения такого вмешательства хирург устраняет вальгусную деформацию, формирует полноценный свод стопы и восстанавливает нормальную ширину пятки. Кости, которые подвергаются во время операции резекции, скрепляются между собой особыми винтами. После этого выполняется ушивание раны и для обездвиживания конечности накладывается циркулярная гипсовая повязка, как и при иммобилизации при «свежих» переломах. Длительность ношения гипса определяется контрольными снимками. После этого больному рекомендуется индивидуальная программа для восстановления.
Реабилитация
Во время лечения и реабилитации всем больным с переломами пяточной кости рекомендуется соблюдение диеты с введением в рацион большого количества богатых кальцием продуктов: молочных продуктов, зелени, овощей, ягод и фруктов.
При переломах без смещения или незначительном смещении, которые лечатся консервативным путем, длительность полного восстановления обычно составляет около 3 месяцев. После снятия гипса больному назначается программа реабилитации, включающая комплекс упражнений по лечебной гимнастике, массаж и физиопроцедуры.
Переломы со смещением или большим количеством отломков требуют более длительного восстановительного периода. Гипсовая повязка носится около 3 месяцев, а при тяжелых травмах срок иммобилизации может продлеваться до 5 месяцев. При необходимости длительного обездвиживания конечности гипс может заменяться на ортез. Это приспособление более легкое и позволяет сократить восстановительный период, т. к. его ношение предотвращает застой крови в венах, атрофию мышц и расширяет двигательную активность.
Во время реабилитации после сложных переломов больному назначаются курсы массажа, лечебная гимнастика и физиопроцедуры (УВЧ, магнитотерапия, электрофорез и др.), позволяющие улучшить кровообращение и обменные процессы в травмированных тканях и ускорить восстановление мышц после длительного постельного режима.
Когда можно наступать на травмированную ногу?
Помните! Нельзя наступать на пятку, если этого не разрешил врач. При совершении таких действий правильное срастание кости может не произойти. Особенно опасны преждевременные нагрузки на пятку при многооскольчатых переломах.
При легких переломах без смещения наступать на переднюю часть стопы врач может разрешить через 4 недели. При этом необходимо соблюдать все рекомендации доктора. Возможность наступать на пятку определяется индивидуально.
При сложных переломах нагрузка на переднюю часть стопы допускается не менее чем через 3-5 месяцев. А сроки, когда пациент сможет полноценно наступать на пятку, так же определяются врачом.
Переломы пяточной кости относятся к тяжелым и редким травмам и очень часто сопровождаются смещениями отломков. Для их устранения могут применяться консервативные и хирургические методики. После завершения лечения для полного восстановления утраченных функций поврежденной ноги назначается индивидуальная программа реабилитации.
К какому врачу обратиться
При подозрении на перелом пяточной кости следует обратиться к врачу-ортопеду. После проведения рентгенографии доктор определит тактику лечения. По его завершению больному необходима консультация реабилитолога для составления восстановительной программы.
Специалист рассказывает о переломе пяточной кости:

