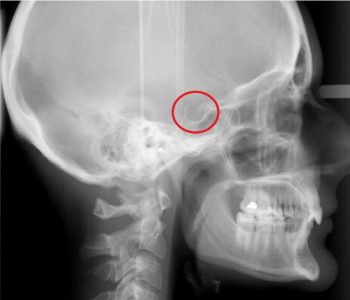
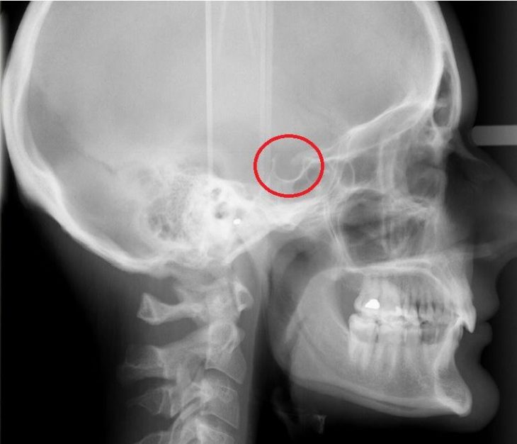
Рентген турецкого седла показания противопоказания методика проведения Автор Екатерина Михайлюк | дата обновления 09.01.2017 Facebook Мой мир Вконтакте Одноклассники Google+ Рубрика: Поделись в соцсетях Вконтакте Facebook Одноклассники Google+