Мешковидные жидкостные образования с капсулой – кисты могут формироваться в самых разных органах (печени, головном мозге, почках и др.). Не является исключением и поджелудочная железа. Образовавшаяся киста, или кисты, бывают как совершенно незаметными для пациента, выявляясь лишь при обследовании, так и вызывающими боли, желтуху, зуд и иные неприятные ощущения и состояния. В зависимости от степени выраженности, одним больным нужно лишь постоянное врачебное наблюдение, другие нуждаются в активных врачебных действиях.
Кисты в поджелудочной железы давно перестали считаться редкой патологией. Они могут развиваться у пациентов любого возраста, поражать как женщин, так и мужчин, значительно различаться по количеству и размерам. Чаще кисты присутствуют лишь в поджелудочной железе, но у отдельных пациентов (особенно при врожденном происхождении) они сочетаются с кистозным поражением яичников, почек, печени, мозга. В этом случае все они являются проявлением одного заболевания – системного поликистоза.
Классификация

По мнению медиков, существуют кисты поджелудочной железы разных типов. По своему происхождению они делятся на:
- врожденные (получаются из-за внутриутробного нарушения развития формирующейся протоковой системы поджелудочной железы или ее ткани);
- ретенционные (последствие закупорки протока поджелудочной железы с дальнейшим его расширением);
- посттравматические (результат повреждения панкреатических протоков или кровоизлияния);
- паразитарные (при цистицеркозе, эхинококкозе);
- неопластические (результат опухолевого процесса).
Нередко истинные кисты путают с псевдокистами. Последние являются непосредственным результатом перенесенного серьезного панкреатита с высокой активностью или травмы поджелудочной железы. Они могут быть заполнены соком железы, кровью, фрагментами разрушенной панкреатической ткани и отличаются по микроскопической структуре стенки от настоящих кист (у них отсутствует выстилка из эпителиальных клеток).
Симптоматика
Клинические проявления кисты поджелудочной железы и лечебная тактика напрямую зависят от ее величины, а также от их количества и месторасположения. Маленькие кисты чаще не причиняют пациентам никакого беспокойства. Крупные же образования сдавливают окружающую ткань, нарушая ее функцию, протоки и находящиеся рядом с поджелудочной железой внутренние органы.
У таких пациентов наблюдаются:
- боли разной локализации и степени выраженности (они могут напоминать приступообразные болевые ощущения при панкреатите или быть постоянными) в подложечной области, подреберьях, иногда «отдают» в спину;
- появление опухолевидного образования в верхней части живота (только при значительных размерах кисты);
- признаки панкреатической недостаточности (вздутие живота, поносы, наличие в стуле фрагментов непереваренной пищи, заметное снижение веса);
- моча приобретает цвет темного пива, а кал становится более светлым;
- желтуха с изнуряющим зудом (при сдавлении кистой желчных путей);
- снижение аппетита, тошнота, при сдавлении кистой двенадцатиперстной кишки – истощающая рвота.
Давняя крупная киста не всегда безобидна. Помимо сдавления находящихся рядом органов, она может сопровождаться и другими осложнениями:
- нагноением или формированием абсцесса (об этом часто свидетельствует появление лихорадки);
- разрывом;
- кровотечением из-за повреждения сосудов;
- формированием свищей.
Диагностика

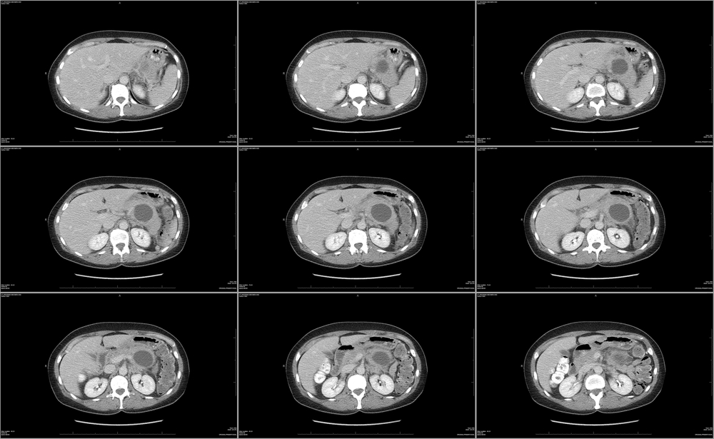
При крупном размере кисты ее иногда удается прощупать в животе в области, соответствующей проекции поджелудочной железы. Но все же чаще кисты выявляются методами современного инструментального обследования, таких как:
- ультрасонография;
- КТ или МРТ (можно выявить кисты величиной от 2 см);
- ЭРХПГ.
Эти исследования визуализируют кисты в виде жидкостных образований с четкими контурами и гомогенной структурой, позволяют оценить их число, размеры, связь с панкреатическими протоками, соотношение с находящимися рядом органами.
Иногда обнаружить кисту удается во время контрастных рентгенологических исследований желудка, двенадцатиперстной кишки, сосудов, желчного пузыря. Такие образования устанавливают смещение или деформацию обследуемых органов или выявляют некую округлую ровную тень.
Лечение
Если у пациента имеются маленькие единичные кисты и их наличие никак клинически не проявляется, такого больного обычно только наблюдают. Регулярное обследование позволяет следить за их ростом, количеством, состоянием, влиянием на другие органы.
В хирургическом лечении нуждаются пациенты с:
- кистой с диаметром, превосходящим 4-5 см;
- опухолевыми кистами;
- нагноением кисты;
- стремительным ростом кисты;
- хирургическими осложнениями кисты (непроходимостью желчных путей или двенадцатиперстной кишки и др.).
Больным могут проводиться:
- энуклеация (полное удаление) кисты или цистэктомия;
- удаление кисты вместе с частью поджелудочной железы (используется при множественных кистах, при подозрении на опухолевую природу);
- частичное удаление;
- дренирование кисты (применяется преимущественно у ослабленных больных, с целью ее опорожнения накладывается соустие между кистой и петлями кишечника, кистой и желудком).
Самым эффективным из указанных методов является энуклеация, которая приводит к излечению почти в 90% клинических случаев. Но она не всегда осуществима из-за сращений кисты, ее локализации, а также физического самочувствия самого пациента.
Если киста имеет паразитарное происхождение, операция непременно должна сопровождаться дополнительным курсом противогельминтных препаратов.
Диета
Важным условием предупреждения обострений болезни является правильное питание. Пищу больному рекомендуется давать в протертом или измельченном виде, так она легче переваривается, снижая нагрузку на поджелудочную железу.
Следует исключить:
- алкогольные напитки, острые блюда, специи;
- крепкие бульоны — как мясные или рыбные, так и овощные;
- бобовые культуры (фасоль, горох, чечевица, нут, маш) – при их переваривании образуются газы, которые давят на прилегающие органы и провоцируют приступы боли;
- любую пищу, излишне богатую жирами или углеводами – организму, вырабатывающему недостаточное количество ферментов, трудно ее переваривать, возникают тяжесть в желудке и тупые давящие боли;
- поздние сорта яблок, груши, все крестоцветные (редька, редис, капуста любого сорта) – содержащаяся в них древовидная клетчатка на поджелудочную железу воздействует негативно.
Подходящая пища:
- пресное молоко, небольшие количества сметаны и сливочного масла;
- кисломолочные продукты: творог, несладкие йогурты, простокваша, неострый сыр;
- крупы – рис (коричневый, басмати, нешлифованный), овес (хлопья), гречка, изредка допустимы пшеничная и манная каши;
- омлеты или вареные яйца;
- хлебные изделия: сухари, тосты, подчерствевший хлеб, галетное печенье, изделия из серой муки;
- рыба – заливная, отварная, приготовленная на пару, фрикадели, тефтели;
- птица – курица или индейка, без кожи, без субпродуктов, отварная, запеченная без масла, приготовленная на пару;
- мясо – телятина, постная говядина, ягнятина в виде фарша или мелкой нарезки, приготовленные без добавления масла;
- цитрусовые культуры, а также манго, авокадо, папайя — в небольших количествах;
- отварные, запеченные или приготовленные на пару овощи (картофель, морковь, бататы);
- свежая зелень в небольших количествах.
Соблюдение режима питания зачастую помогает избежать оперативного вмешательства.
К какому врачу обратиться
При появлении болей в животе, нарушений пищеварения нужно обратиться к терапевту, семейному врачу для предварительной диагностики. Если диагноз уже установлен, пациента лечит гастроэнтеролог. Может понадобиться консультация эндокринолога, онколога, хирурга, диетолога. В процессе диагностики обязательно участвуют врачи ультразвуковой диагностики и эндоскописты.

(голосов - 2, среднее: 4,00 из 5)