Кальцинатами в молочных железах называют скопления солей кальция в участках мягких тканей, которые подверглись изменению вследствие различных других патологий. Эти образования ничем не проявляются и могут обнаруживаться или во время выполнения плановой маммографии, или путем прощупывания при достижении больших размеров (более 1 см). Кальцинаты могут локализоваться в одной или обеих грудях и сами по себе не представляют опасности для здоровья и жизни. Однако их появление всегда указывает на необходимость регулярных осмотров у маммолога и внимательного отношения к своему здоровью.
Примерно в 80 % случаев кальцинаты становятся следствием дисгормональных, воспалительных, инволютивных или метаболических нарушений и являются доброкачественными. Однако примерно у 20 % пациенток маммолога эти образования свидетельствуют о развитии злокачественных опухолей.
Специалисты отмечают, что риск появления кальцинатов в молочных железах увеличивается с возрастом. Этот факт указывает на необходимость регулярного профилактического обследования груди – проведения обязательного ежемесячного самоощупывания груди и плановых маммографий. Лечение этих образований и причин, вызывающих их возникновение, должно начинаться как можно раньше.
Почему в молочных железах появляются кальцинаты? Как они возникают? Какими они бывают? Как выявляются и лечатся кальцинаты в груди? Ответы на эти вопросы вы найдете в этой статье.
Причины

Поражение тканей груди солями происходит при сочетании нескольких изменений: воспалительного, некротического или неопластического и метаболического (повышенного содержания кальция в организме). При комбинации этих первопричин происходит обызвествление тканей молочных желез, и они приобретают вид образований, которые и называются кальцинатами.
Чаще всего причиной формирования кальцинатов в груди становятся следующие патологии:
- различные заболевания молочных желез – мастопатии, маститы и другие недуги приводят к нарушению метаболизма, в организме создается кислая среда, являющаяся благоприятной для отложения солей кальция, а при раковых новообразованиях сдвиг в метаболизме провоцируется ростом опухоли, который и приводит к гиперкальциемии;
- инволюция молочных желез (естественный процесс обратного развития тканей железы) – если инволютивные процессы протекают в фиброзно-кистозной форме, то в груди формируются наполненные жидкостью полости, которые и обызвествляются (солями кальция пропитываются их стенки или в содержимом образуется нерастворимый осадок);
- застой молока в период лактации – если в этом периоде жизни женщины происходит лактостаз, то молоко начинает бродить; этот процесс приводит к развитию локального ацидоза, который способствует выпадению солей кальция;
- гиперкальциемия – при повышенном уровне кальция в крови он оседает в мягких тканях, вызывать подобные отклонения в составе крови могут злокачественные опухоли, различные эндокринные патологии (например, гипертиреоз, гиперпаратиреоз и др.), обменные нарушения, неконтролируемый прием препаратов на основе кальция, витаминов D и А.
Поражение мягких тканей солями кальция происходит из-за того, что при определенных условиях (а именно при локальном ацидозе) они обладают свойством выпадать в осадок. На фоне воспалительного процесса нарушается углеводно-жировой обмен, в очаге поражения возрастает осмотическое давление и скапливаются кетокислоты, пировиноградная и молочная кислота. При этих процессах жидкость, поступающая из сосудистой системы, застаивается в тканях, в кислой среде происходит оседание солей кальция и формирование кальцинатов. Они могут иметь различную форму и размеры.
По мнению ряда специалистов, кальцификаты в молочных железах не всегда являются последствием патологических процессов и могут являются своеобразной защитной реакцией. При этом они как бы защищают рядом расположенные ткани от дальнейшего разрушения.
Разновидности кальцинатов
Кальцификаты в молочных железах могут быть единичными или множественными. Чаще поражение солями кальция приводит к формированию именно множественных образований. Они могут сливаться в очаги диаметром не более 1 см или охватывают значительную площадь и являются диффузными.
В зависимости от места локализации кальцификаты груди разделяют:
- на дольковые – образуются в железистых дольках и обычно наблюдаются при фиброзно-кистозной мастопатии, аденозе или при обызвествлении кист при патологической инволюции;
- протоковые – локализуются в млечных протоках и обычно выявляются при лактостазе, интрадуктальном раке груди или эктазиях протоков;
- стромальные – формируются на соединительной ткани железы, чаще являются единичными и выявляются при липомах, кистах, фиброаденомах и атеросклерозе сосудов.
В зависимости от объема поражения железы кальцинаты бывают:
- сегментарными – поражают одну дольку;
- регионарными – охватывают млечную долю.
Очаги обызвествления могут иметь различную форму, и нередко она предопределяется первопричиной формирования кальцинатов. Протоковые образования бывают точечными (прерывистыми), игольчатыми или червеобразными. Они более характерны для протокового рака. Дольковые образования обычно имеют форму полумесяца, осколков яичной скорлупы, а стромальные – в виде крупы, овала, попкорна или имеют бесформенные очертания.
В зависимости от размеров кальцинаты разделяют на микро- и макрокальцинаты. Микрообразования чаще обнаруживаются при злокачественных процессах, а макрокальцинаты – при доброкачественных. Однако этот признак не является диагностическим критерием, и ставить диагноз возможно только при проведении как минимум трех исследований, подтверждающих злокачественность процесса. К этим диагностическим методам относят:
- УЗИ молочных желез;
- маммографию;
- тонкоигольную биопсию с последующим гистологическим скринингом.
Симптомы
При небольших размерах кальцинатов образования длительное время протекают бессимптомно и не доставляют беспокойство. Как правило, они обнаруживаются случайно во время проведения плановой маммографии. Больные с такими образованиями обычно не предъявляют жалоб на боли, дискомфортные ощущения, уплотнения в одной или двух молочных железах, выделения из сосков.
Первые проявления данной патологии возникают при больших размерах обызвествленных образований (от 1 и более сантиметров в диаметре). Макрокальцинат может прощупываться рукой или визуализируется под кожей. Однако подобные образования выявляются в редких случаях.
Симптомы кальцинатов груди могут возникать при развитии злокачественного новообразования в железе. В таких случаях появляются жалобы на частые ощущения слабости, повышение температуры, дискомфортные или болезненные ощущения в груди, выделения из сосков, присутствие участков уплотнений и головные боли.
Чем опасны кальцинаты молочных желез?
Сами по себе кальцинаты в груди не опасны. Вероятность их осложненного течения возникает тогда, когда женщина планирует родить ребенка и кормить его грудью. Из-за присутствия подобных образований у нее может происходить застой молока и развитие маститов. У некоторых склонных к тревожности женщин известие о присутствии кальцинатов в железах может приводить к формированию канцерофобии.
Основная опасность наличия кальцинатов в груди заключается в том заболевании, которое стало причиной их формирования. Особенную настороженность в этом плане должны вызывать злокачественные неоплазии.
Диагностика

Для выявления в тканях молочных желез кальцинатов проводятся следующие исследования, направленные на оценку их характеристик (размеров, количества, формы и места расположения) и определение причин их возникновения:
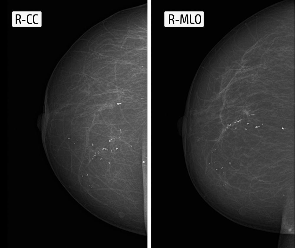
- маммография – данная методика позволяет выявлять кальцинаты, определять область их локализации, размеры, форму; кроме этого, снимки могут давать максимум информации о других патологиях груди, которые могли бы стать причиной появления очагов обызвествления (мастопатии, новообразований, кист и пр.);
- пункционная биопсия (под рентген-контролем) и цитологическое исследование полученных образцов тканей – этот способ диагностики назначается при наличии подозрений на развитие злокачественной опухоли.
При сомнительных результатах исследований и для установления первопричин кальцификации могут назначаться следующие методики:
- трепанационная биопсия – исследование дает возможность не только оценить морфологическое строение патологически измененных тканей, но и предоставляет возможность провести иммуногистохимический анализ биоптата;
- УЗИ, КТ, МРТ – эти методики позволяют получить данные о точном месте расположения образований и степени их распространенности;
- сцинтиграфия – позволяет получать данные о степени злокачественности опухоли;
- анализ крови на гормоны щитовидной железы, ЛГ, ФСГ и эстрогенов – дают данные о состоянии гормонального фона, дисбаланс которого может являться первопричиной кальцификации;
- анализ крови на онкомаркер С 15-3 – позволяет судить о вероятном злокачественном перерождении тканей молочной железы;
- анализ на уровень ионизированного и общего кальция в крови – выполняется для выявления гиперкальциемии.
При необходимости пациентке назначается консультация эндокринолога и/или онколога.
Лечение
Тактика лечения кальцинатов определяется клиническим случаем и в первую очередь – первопричиной их формирования. При отсутствии опухолей и симптомов лечение не назначается и пациентке рекомендуется диспансерное наблюдение у маммолога с обязательным периодическим проведением маммографии.
При выявлении причин формирования кальцинатов или доброкачественных опухолей женщине могут назначаться:
- гормональные средства (гестагены, эстрогены или их комбинация, ингибиторы выработки половых гормонов) – выбор препаратов определяется характером гормональных нарушений, в некоторых случаях могут назначаться фитоэстрогены или гомеопатические средства;
- нестероидные противовоспалительные средства – препараты рекомендуются при наличии болей и признаков воспаления тканей груди.
Всем женщинам, у которых в молочных железах обнаруживаются кальцинаты, рекомендуется соблюдение специальной диеты, подразумевающей ограничение или исключение из рациона продуктов с высоким содержанием кальция (например, молочных продуктов, бобовых, некоторых видов морской рыбы, кунжута, орехов и пр.).
Хирургическое лечение при кальцинатах молочных желез не проводится, поскольку подобные вмешательства достаточно сложны в техническом выполнении и малорезультативны, так как не устраняют причину их формирования. Операция рекомендуется в тех случаях, когда формирование кальцификатов было спровоцировано злокачественной опухолью. Тактика хирургического вмешательства определяется клиническим случаем. В послеоперационном периоде больной назначается гормональная, химио- и/или радиолучевая терапия.
Прогноз
Исход заболевания при кальцинатах молочных желез зависит от основного заболевания, которое привело к их формированию. При отсутствии злокачественных новообразований прогноз благоприятный.
К какому врачу обратиться
При появлении уплотнений в груди или выявлении кальцинатов во время маммографии следует обратиться к маммологу. После проведения ряда обследований (анализов крови на гормоны, маммографии, УЗИ, биопсии и пр.) врач составит план дальнейшего лечения и порекомендует диспансерное наблюдение. При необходимости больной назначается консультация эндокринолога или онколога.
Кальцинатами молочных желез называют скопления (очаги обызвествления) солей кальция, которые формируются в мягких тканях вследствие различных заболеваний, приводящих к структурному поражению железистых и соединительнотканных клеток. Эти образования в большинстве случаев протекают практически бессимптомно и могут прощупываться только при достижении больших размеров (1 см и более). Сами по себе они не опасны для здоровья женщины, но их присутствие всегда указывает на необходимость выявления причины их появления и проведения лечения основного заболевания.
