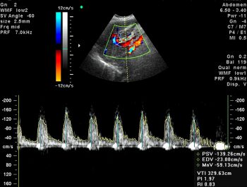
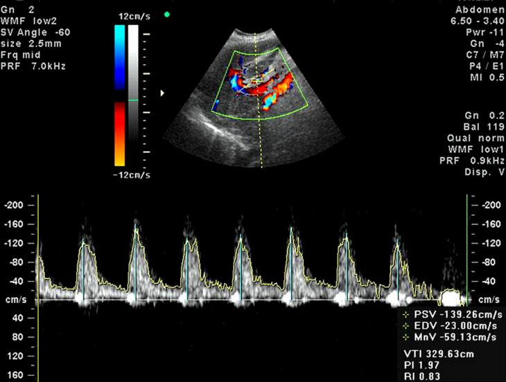
УЗИ-доплера Автор Полина Корректор | дата обновления 14.01.2015 Facebook Мой мир Вконтакте Одноклассники Google+ УЗИ сердца, или Эхокардиография: что это и для чего используется? Рубрика: Поделись в соцсетях Вконтакте Facebook Одноклассники Google+