Если КТ или МРТ показала наличие объёмного образования в головном мозге, затемнение, то точный диагноз устанавливают после проведения гистологического и цитологического исследования. Чтобы взять необходимый для анализа патологический материал назначают биопсию головного мозга. До внедрения в медицинскую практику визуализирующих методов диагностики процедура эта была опасной, очень травмирующей. Сейчас биопсию головного мозга проводят только по соответствующим показаниям, используя малоинвазивную методику.
Когда необходима биопсия головного мозга

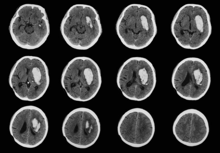
Современные методы исследования (МРТ, КТ) зачастую помогают врачу установить точный диагноз, но иногда и они оказываются малоинформативными. При исследовании головного мозга пациента на снимках визуализируются области затемнения, объёмные образования, свидетельствующие об:
- Опухоли. Она может быть доброкачественной, злокачественной. Нередко в головном мозге обнаруживают метастатические очаги (чаще при раке лёгких). Биопсия необходима для диагностики глубоко расположенных опухолей. Её рекомендуют при подозрении на распространённую диффузную глиому.
- Церебральном токсоплазмозе. Болезнь вызывается внутриклеточным паразитом. Клиническая картина заболевания зависит от месторасположения воспалительного очага, а выявляют возбудителя исключительно в образцах биопсии.
- Абсцессе или гематомах. Их трудно дифференцировать на КТ- и МРТ-снимках от других новообразований.
Все эти заболевания лечат по-разному. Даже если визуализирующие методы показали что у пациента опухоль, которую удаляют в любом случае, биопсия также необходима. Ведь только гистологический анализ патологического материала покажет злокачественное это новообразование или доброкачественное. После проведения микроскопического исследования врач определит, действительно ли необходима операция, и какие терапевтические методы лечения будут эффективны (лучевая терапия, химиотерапия).
Как проводят биопсию головного мозга
Если с помощью КТ и МРТ не удалось установить точный диагноз, особенно если необходимо дифференцировать опухоли от других заболеваний (кровоизлияния, абсцесса, поражения паразитами, лейкоэнцефалопатии, инфаркта головного мозга, метастазов опухолей другой локализации, сосудистых мальформаций, рассеянного склероза) и между собой, назначают биопсию.
Взятие патологического материала проводят 2 способами:
- открытым;
- стереотаксическим.
Открытый метод травматичнее, но значительно проще в исполнении. Для начала определяют локализацию опухоли с помощью КТ, МРТ или ангиографии. Затем проводят поэтапную манипуляцию:
- С помощью специальной фрезы делают трепанационное отверстие.
- Вскрывают твёрдую мозговую оболочку.
- Вводят в опухолевую ткань тупую канюлю размером 2–3 мм.
- С помощью шприца отсасывают часть содержимого.
- Взятый материал направляют на исследование
- Трепанационное отверстие закрывает специальной металлической пластинкой, или удалённой костью.
Эту операцию проводят под общей анестезией. Пациент после неё восстанавливается несколько дней.
По-возможности стараются прибегать к стереотаксической биопсии. Эта процедура более сложна, для её проведения необходима специальная аппаратура, но восстановительный период очень короткий. Пациент на следующий день после её проведения отправляется домой.
Проводят её поэтапно:
- Стереотаксическую рамку фиксируют на голове пациента. К ней прикрепляют индикатор МРТ, определяют точную локализацию объёмного образования.
- С помощью специальной расчётной программы вычисляют траекторию ведения инструмента, так чтобы не зацепить сосуды, функционально значимые центры головного мозга.
- Проводиться местная анестезия кожи в месте входа и апоневроза.
- Прокол кожи делается специальным тубусом. Затем накладывается фрезевое отверстие диаметром до 4 мм.
- В опухолевую ткань вводят стереотаксическую иглу, проникающую сквозь мягкие ткани мозга не травмируя их, а раздвигая.
- Производиться забор материала. Полученные фрагменты новообразования фиксируются в формалине и направляются на исследование.
- На кожу накладывается 1 шов. Затем проводиться КТ или МРТ (для контроля точки цели, траектории, наличия кровоизлияний) и пациент отправляется домой, дожидаться результатов анализа.
В некоторых клиниках стереотаксическую биопсию проводят безрамочным методом. Делают её с помощью нейронавигации. Расчет траектории производится по реперным точкам на голове пациента. Перед операцией больной проходит КТ или МРТ, полученные данные записывают на диск, переносятся в навигационную программу. Нейрохирург изучает объёмные изображения, определяет точку входа, место, где необходимо взять материал, траекторию движения иглы.
Для проведения стереотаксической биопсии используют канюлю Нашольда. У неё тупой конец и есть узкое боковое окно с острыми краями. Когда её вводят в опухоль, создают разреженное пространство и ткань втягивается в окно. Затем канюля проворачивается, материал для исследования отсекается, извлекается.
Стереотаксическая биопсия малоинвазивная, риск развития осложнений не превышает 1%. Процедура эта является необходимой для установления точного диагноза и дальнейшего выбора терапевтического курса. Отказ от неё приводит к прогрессированию заболевания и его осложнениям.
Выбирает оптимальный метод и проводит биопсию головного мозга – нейрохирург.
Видеосюжет о стереотаксической биопсии головного мозга:
Специалист клиники «Московский доктор» рассказывает о биопсии головного мозга:
