sindrom-pustogo-tureckogo-sedla-prichiny-simptomy-lechenie

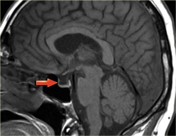
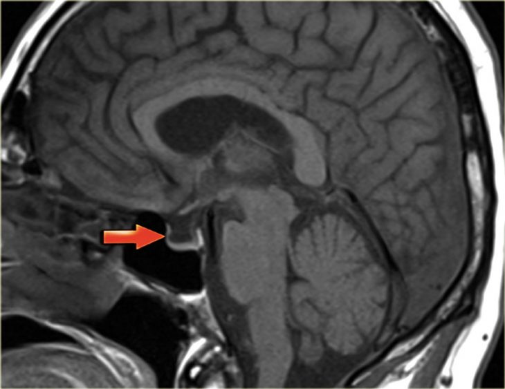
Синдром пустого турецкого седла причины симптомы лечение

Рубрика:
Поделись в соцсетях